Un caso de "momia-manía"
Las investigaciones científicas resuelven un enigma
Jueves 22 de enero de 2015 - 16:00 h.
Sala de Conferencias, Museos Vaticanos
Sala de Conferencias, Museos Vaticanos
Un caso de "momia-manía"
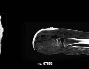
El Jueves de los Museos del 22 de enero nace del gran interés que ha suscitado la restauración de una pequeña momia perteneciente a la colección egipcia de los Museos Vaticanos: un caso de "momia-manía", un enigma resuelto gracias a investigaciones científicas exhaustivas.

